Панч-биопсия кожи

АКЦИЯ!!! до 31 декабря!
Панч-биопсия кожи(консультация дерматолога, дерматоскоп,
анестезия, забор материала, о/р панчели, гистология)
стоимость: 7 000 руб. 9 500 руб.
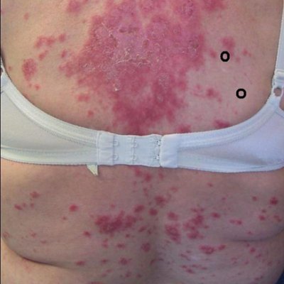
Панч-биопсия проводится при подозрении на васкулит, герпетиформный дерматит и другие буллезные образования. Также панч-биопсия осуществляется при длительно текущих заболеваниях, не поддающихся лечению. В ходе проведения исследования кусочек кожи отправляется гистологу, откуда получаем 100% диагноз.
Панч-биопсия: основной инструмент
- Панч-биопсия производится с помощью специального инструмента с лезвием в форме цилиндра – панча.
- Диаметры панчей бывают от 2 до 6 мм.
- Чаще всего биопсию кожи производят панчем 4 мм диаметра.

Панч-биопсия: основной инструмент

стирильные медицинские ножницы с острыми концами

анатомический пинцет
Выбор времени
- Многие воспалительные элементы имеют быструю динамику.
- Считается, что в первые 18 часов с момента появления элемента воспалительные изменения еще не развились полностью.
- В срок от 24 до 36 часов изменения достигают максимума.
- Через 48 – 72 часа происходит изменение воспалительного инфильтрата (например, нейтрофилы сменяются лимфоцитами), а также разрушаются отложившиеся иммунные комплексы.

Выбор времени
- Оптимальный «возраст» воспалительного элемента для биопсии – 24-36 часов!!!
- Если это невозможно, то на усмотрение гистолога, который будет проводить исследование, выбирается наиболее подходящий элемент другого возраста.
Выбор зоны биопсии
Буллезные элементы.
Биопсия по краю свежего пузыря с участка покраснения, где пузырь еще не развился.
Буллезные элементы



Герпетиформный дерматит



Порфирия и псевдопорфирия



Подозрение на красную волчанку или дерматомиозит




Подозрение на дерматомиозит



Подозрение на васкулит


